欠けてしまった前歯に対して、ジルコニアクラウンとラミネートベニアで審美回復を計った症例

HOME > 当院の症例 > 欠けてしまった前歯に対して、ジルコニアクラウンとラミネートベニアで審美回復を計った症例

ひび割れた歯の見た目を改善する
審美歯科治療

前歯部の審美回復を図った症例

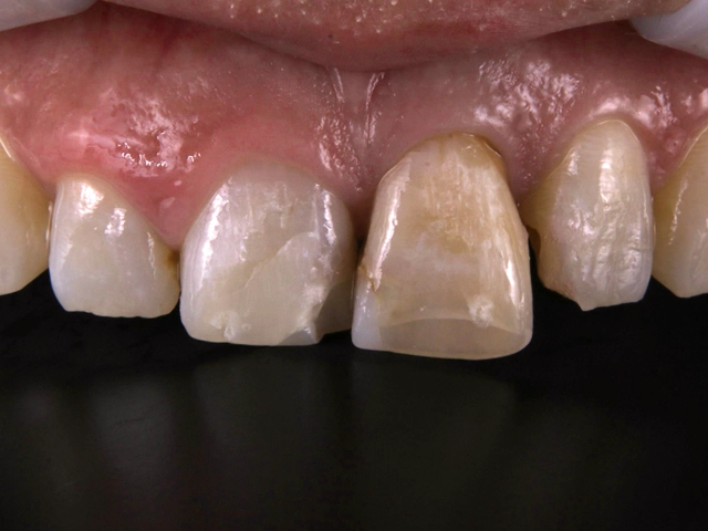
Before

セラミック治療前の前歯

転倒によって前歯の一部が欠けてしまった事と、痛みが出ている事を理由に来院されました。

すでに根管治療を行なっていた左の前歯はセラミックジルコニアクラウンによって、ヒビが先端部分に限定されていた右の前歯はラミネートベニアによって治療を進めていく事になりました。

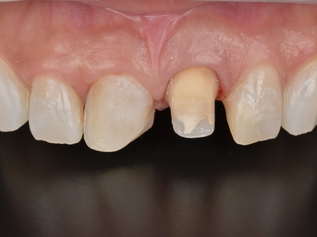
Process

形成が完了した前歯

ラミネートベニアは、ごくわずかに歯の表面を削ることで歯の見た目や形状を改善する治療法です。右の前歯はひび割れが大きくなかったため、ラミネートベニアでの修復を適用し、歯質の切削量を少なくすることができました。

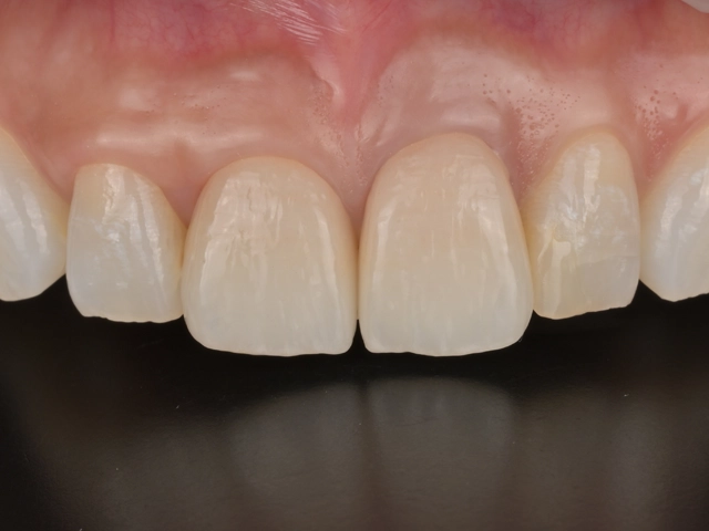
After

セラミック治療後の前歯

セラミック治療によって、ひび割れてしまっていた前歯を自然な見た目に改善することができました。今後は予防歯科と経過観察を続けることで歯の健康をサポートしていきます。

セラミック治療前の前歯 セラミック治療後の前歯
治療の内容 セラミックジルコニアクラウンとラミネートベニアによる前歯部の審美歯科治療
期間・回数 5ヶ月・10回
(カウンセリング・検査含む)
費用 自由診療:
セラミックジルコニアクラウン1歯
150,000円(税込16,500円)
+
ラミネートベニア1歯
130,000円(税込143,000円)
総額 280,000円(税込308,000円)
リスク

副作用

セラミック治療のリスク・副作用

  • セラミックの詰め物・被せ物は食いしばりが強い場合や咬合力が強い場合、天然歯と同じように割れる場合があります。

ラミネートベニアのリスク・副作用

  • 食いしばりが強い場合や咬合力が強い場合は天然歯と同じく割れる場合があります。
  • 補綴が原因となり歯根歯折を起こす可能性があります。
  • 経年の劣化により着色や脱離をすることがあります。

このページの関連記事

阪急伊丹駅前の歯医者 アップル歯科伊丹駅前

  • 〒664-0858 兵庫県伊丹市西台1丁目1番1号 伊丹阪急駅ビル4階
  • お支払いには各種クレジットカード・電子マネーが利用出来ます。

診療時間

曜日
診療開始 9:30 9:30 9:30 9:30 9:30 9:30
診療終了 18:30 18:30 13:00 18:30 18:30 17:00

診療情報

休診日:日曜・祝日
※日曜・祝日診療は下記診療カレンダーをご覧下さい。

休診日

2026年 1月
28
29
30
31
1
2
3
4
5
6
7
8
9
10
11
12
13
14
15
16
17
18
19
20
21
22
23
24
25
26
27
28
29
30
31

休診日

日曜・祝日診療

13時迄

アクセス・地図

地図
公共交通機関のご利用が便利です
  • 阪急伊丹駅 改札から徒歩30秒 3Fエスカレーターを登ってすぐ!
  • JR伊丹駅 から徒歩10分
  • 伊丹市営バス 各系統「阪急伊丹駅」下車 伊丹リータへ徒歩1分

お車でお越しの方へ

  • 県道189号より緑ヶ丘中央線へ入り伊丹リータ駐車場入口へ
  • 提携駐車場サービス有(伊丹リータ駐車場のみ:1時間分)

他のエリアでもアップル歯科の治療を受けられます

アップル歯科グループ

兵庫県 伊丹市周辺の歯科

アップル歯科伊丹駅前

アップル歯科伊丹駅前
  • 伊丹市西台1-1-1伊丹阪急駅ビル4階
  • TEL072-783-5777

兵庫県 尼崎市周辺の歯科

アップル歯科尼崎駅前

アップル歯科尼崎駅前
  • 尼崎市長洲本通1-4-18ヴィラレオーネ1F
  • TEL06-7777-3748

兵庫県 明石市周辺の歯科

明石アップル歯科

明石アップル歯科
  • 明石市大久保町高丘3-3-1
  • TEL078-935-4182

兵庫県 加古川市周辺の歯科

加古川アップル歯科

加古川アップル歯科
  • 加古川市平岡町土山909-33
  • TEL078-942-4185

兵庫県 神戸市 中央区周辺の歯科

三宮アップル歯科

三宮アップル歯科
  • 神戸市中央区琴ノ緒町5-2-2三信ビル3F
  • TEL078-200-6802

大阪市北区 梅田周辺の歯科

梅田アップル歯科

梅田アップル歯科
  • 大阪市北区芝田2-3-9EXCEL UMEDA 2F
  • TEL06-6371-0418

大阪市中央区 難波周辺の歯科

なんばアップル歯科

なんばアップル歯科
  • 大阪市中央区難波千日前15-15BRAVE難波 503
  • TEL06-7777-0200

大阪府 枚方市周辺の歯科

枚方くずはアップル歯科

枚方くずはアップル歯科
  • 枚方市楠葉花園町14-1京阪くずは駅ビル2階
  • TEL072-856-5088

京都市下京区 河原町周辺の歯科

アップル歯科京都河原町

アップル歯科京都河原町
  • 京都市下京区奈良物町364中央四条ビル3階
  • TEL075-211-1005

福岡県 六本松周辺の歯科

アップル歯科六本松

アップル歯科六本松
  • 福岡県福岡市中央区六本松2丁目5番1号 THE GROVE 3階
  • TEL092-751-2100

Copyight© 2023 Apple Dental Clinic. All Right Reserved.

Page Top