アップル歯科のインプラント治療

【新規の患者様】「インプラント相談」予約可能日時

その他の予約

新規患者様予約メニュー

既存の患者様はこちら

お電話で予約 072-783-5777

Image

相談したら即治療?

相談だけでもOKです

インプラントは、外科手術を伴う治療です。また、埋入するだけではなく、しっかり咬み合い、抜けた歯の代替えとしてしっかり機能させる必要があります。
その上インプラントの費用は医院毎に異なりどこで治療をすればいいのかわからないという人もたくさんおられます。
だからこそアップル歯科では、しっかり治したいという患者様の思いに答える為に無料で相談会を行っております。
もちろん相談だけでもOKです。インプラントに関する、疑問、不安、どこで治療すればよいのか、この機会を利用してしっかりご検討下さい。

よくあるお悩み

こんな悩みにお答えします

  • インプラントの治療や手術って痛いの?
  • 入れ歯とどう違うの?他に方法は?
  • インプラントは危険と聞いたが本当?
  • 支払い方法について聞きたい
  • インプラントの他に治療法はないの?
  • 入れ歯が合わない、インプラントなら大丈夫?

私たちのことだわり

アップル歯科のインプラント

Image

トレーニングと症例検討

最善を尽くします

当院のドクターは皆インプラントの実習・助手経験を積んでいます。さらに、治療に関してはミスを防ぐためにも複数の歯科医師で症例を検討しています。

Image

しっかり滅菌、きちんと消毒

感染予防を徹底

インプラント治療で怖いのは感染症。アップル歯科では滅菌・消毒専門のスタッフとマニュアルにより、使用器具は患者様ごとに滅菌し、標準予防策を実施。

Image

整った設備で最善の提案を

技術と環境

インプラント治療において重要なのは施術者の技術と設備です。CT・特別診療室など整った環境の中でしっかり治療を行います。

来院から相談まで

インプラント相談の流れ

相談は30分ですが、来院から相談終了までは1時間程度かかることが多いです。

「インプラント相談」を選び、ご要望欄に「無料相談希望」とご入力下さい。

お電話で予約→072-783-5777

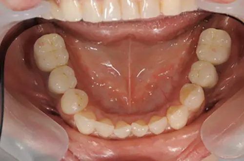
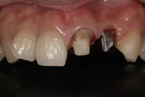
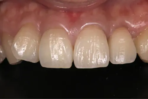
インプラントの症例写真

前歯部インプラント治療

Before

After

治療の内容 破折した歯のインプラント治療1歯とセラミック補綴1歯、骨造成、ホームホワイトニング。
期間・回数 9ヶ月・11回(カウンセリング・検査・歯周病治療含む)
費用 自由診療:プレミアムインプラント(44万円)✕1歯+セラミッククラウン1歯(13万円)+ホームホワイトニング治療セット(1万5,000円)
合計 585,000円(税込643,500円)
現在の価格に換算しています。
リスク・副作用
  • インプラント手術後、まれに唇、舌、頬、歯肉そして歯牙の感覚マヒが一時的に発生する場合もあります。また、近接歯牙、顎、上顎洞、鼻腔に対する炎症、疼痛、過敏症、組織治癒の遅延及び顔面部の内出血(紫斑や黄斑など)が避けられない方もまれにおられます。術後、3~4日目になると腫れ止めが切れるため傷口が腫れてきますが、殆どの場合、1週間程度で傷口は治ります。
  • 術中に、歯牙や骨の状態により手術内容が予定より変更することも起こりえます。
  • 術中に、予定していた骨の量が足りない場合には、追加の骨造成が必要になることがあります。(治療代5万円)
  • 喫煙、飲酒は正常な治療の妨げとなります。術後1週間は控えてください。
  • 処方された薬剤の服用により吐き気、めまい、眠気、咳、お腹が緩くなるなど一時的な副作用が現れることがあります。
  • インプラントの耐久性は、天然歯同様、口腔衛生状態(喫煙の有無、喫煙者の協力度、咬合力、咬み合わせ、骨量、歯肉量、歯磨き、メンテナンス)により変化します。
  • 治療後、知覚過敏や痛みなどが出たり、吸収された骨が再生しなくなることがあります。
  • また、歯肉が退縮して歯が長く見えたり、歯と歯の隙間が広くなったりすることもあります。

臼歯部インプラント治療

Before

After

治療の内容 片顎インプラント治療4歯、骨造成、セラミックポンテック2歯(ブリッジ)、ホームホワイトニングによる総合治療。
期間・回数 2年1ヶ月・17回(カウンセリング・検査を含む)
費用 自由診療:ベーシックインプラント✕2歯(68万円)+骨造成(10万円)+セラミック補綴✕2歯(22万円)+ホームホワイトニング治療セット(1万5,000円)
合計101万5,000円(税込1,116,500円)
※片顎(掲載写真部位)のみの費用を現在の価格に換算しています。
リスク・副作用
  • インプラント手術後、まれに唇、舌、頬、歯肉そして歯牙の感覚マヒが一時的に発生する場合もあります。また、近接歯牙、顎、上顎洞、鼻腔に対する炎症、疼痛、過敏症、組織治癒の遅延及び顔面部の内出血(紫斑や黄斑など)が避けられない方もまれにおられます。術後、3~4日目になると腫れ止めが切れるため傷口が腫れてきますが、殆どの場合、1週間程度で傷口は治ります。
  • 術中に、歯牙や骨の状態により手術内容が予定より変更することも起こりえます。
  • 術中に、予定していた骨の量が足りない場合には、追加の骨造成が必要になることがあります。(治療代5万円)
  • 喫煙、飲酒は正常な治療の妨げとなります。術後1週間は控えてください。
  • 処方された薬剤の服用により吐き気、めまい、眠気、咳、お腹が緩くなるなど一時的な副作用が現れることがあります。
  • インプラントの耐久性は、天然歯同様、口腔衛生状態(喫煙の有無、喫煙者の協力度、咬合力、咬み合わせ、骨量、歯肉量、歯磨き、メンテナンス)により変化します。

インプラント治療で大切なのは診断と技術

アップル歯科伊丹駅前の特徴

科学的根拠に基づいたインプラント

インプラントを埋入する時、考えなければならないことはたくさんあります。周りの歯との咬み合わせを考えた位置、骨の量、顎の厚みなどなど。そのために欠かせないのが3次元による画像診断です。 アップル歯科ではこの画像診断(CT)によりインプラントが埋入可能かどうかを即座に判断し、神経を傷つけないような深さや角度を計算した上で治療計画を確定していきます。

Image

1本の歯だけではなく全体を考えた治療

アップル歯科のインプラント治療の考え方は1本の失った歯の治療ではなく、お口全体を支える歯の代替えとして治療計画を立てています。ですから抜けた所に埋入するという考えではなく、どうすれば長く・機能的にそのインプラントが歯としての役割を担うかを考えた治療を行います。アップル歯科のインプラントは抜けたところに埋入するだけの治療ではありません。

Image

保証について

インプラント治療にはプランにより3〜10年の保証制度を設けています。

また、ストローマン社・Nobel Biocare社のインプラント本体には、メーカーによる保証がついています。

インプラントが破折したり、インプラント自体が脱落した場合、新たなインプラントをメーカーから補填されます。(埋入手術後24時間経過後から適応)インプラント自体の保証のため、治療時の不備等がない場合、治療時の埋入費用のみ患者様の負担となりますのでご了承下さい。

※メーカー保証(対象:インプラント体のみ/手術費・上部構造・通院費は対象外/定期メンテナンス来院が条件)

整った設備と環境

アップル歯科のインプラント治療は完全個室の特別診察室にて行います。他の患者さんの目を気にすること無く、長時間の治療にも耐えうる手術向けの診療台で、患者様にも術者にも負担の少ない環境を整え、インプラント治療に適した設備を整えています。

メインテナンスに力を入れています

アップル歯科はインプラント治療を得意としていますが、実は予防中心の歯科医院です。インプラント治療をすれば終わりではなく、その歯を長期的に保ち、他の天然歯も守るためのメインテナンスに力を入れています。担当の歯科衛生士と歯科医師が長期に渡り患者様のお口のパートナーとして、年に3〜4回程度インプラントのチェックと予防を行うことで、良くなった口腔内環境を維持するお手伝いをしています。

骨が少ない方、前歯等の難症例も対応可能

アップル歯科では骨が薄く難しい前歯の治療も積極的に行っております。

骨造成や自家骨移植も可能ですのでお気軽にご相談ください。

骨造成や移植が必要かどうか、どんな施術が必要なのか、インプラントが可能かどうかも検査の上ご説明させていただきます。

Image

下記費用には手術代・抜糸代・被せ物代・仮歯代・麻酔代が含まれています

インプラントの選べるプラン

インプラント治療は公的医療保険適用外の自由診療です

ベーシック

  • 340,000円
  • 374,000円(税込)
  • デンタルローン:月々3,800円〜(2回目以降)(120回)
  • オステムジャパン製
  • アジア人の骨格に合わせて開発されています。
    ※トータルフィー

スタンダード

  • 410,000円
  • 451,000円(税込)
  • デンタルローン:月々4,600円〜(2回目以降)(120回)
  • ノーベルバイオケア社orストローマン社
  • 当院実績が最も多く固定が得やすいため難症例にも対応可能
    ※トータルフィー

プレミアム

Image
  • 440,000〜490,000円
  • 484,000〜539,000円(税込)
  • デンタルローン:月々5,000円〜(2回目以降)(120回)
  • ノーベルバイオケア社orストローマン社
  • 前歯部など審美性を求める方向けのプランです
    ※トータルフィー

インプラント治療をご検討中の方へ

インプラントの標準的な治療内容

インプラント治療は、人工の歯根を顎の骨に埋入し、その上に人工歯を装着して噛めるようにする治療法です。

インプラントのメリット・デメリット・リスク

メリット

  • 見た目の良い人工歯を装着できる
  • 独立した歯を作るため、他の歯に影響しない
  • 天然歯と同じような感覚で使用できる
  • 骨がやせるのを防ぐことができる

デメリット

  • 外科手術が必要となる
  • 十分な骨量が必要となる
  • 保険が適用とならないため、費用が高くなる
  • 入れ歯・ブリッジよりも治療期間が長くなる

起こり得るリスク・注意点

分割払いについて

アップル歯科伊丹駅前では、お支払い回数に応じた3つの分割プランをご用意しています。

アップルらくらく分割プラン

支払回数:最大5回(矯正は最大10回)

金利0

デンタルローンを使わず、医院内で分割してお支払いいただくプランです。

※金利・手数料はかかりません。

アップル金利0円プラン

支払回数:最大36回(均等払い)

金利0

36回までに支払いを完了することで金利0円でデンタルローンを利用するプランです。

※金利・手数料はかかりません。

アップルスマイルプラン

支払回数:最大120回

年率4.5%

長期でゆっくり支払いたい方のためのデンタルローンプランです。

※金利・手数料がかかります。

※年率は選択金融機関により異なる場合があります。

その他、クレジットカードによる分割払いにも対応しています。手数料についてはカード会社へご確認ください。

阪急伊丹駅前の歯医者 アップル歯科伊丹駅前

  • 〒664-0858 兵庫県伊丹市西台1丁目1番1号 伊丹阪急駅ビル4階
  • お支払いには各種クレジットカード・電子マネーが利用出来ます。

診療時間

曜日
診療開始 9:30 9:30 9:30 9:30 9:30 9:30
診療終了 18:30 18:30 13:00 18:30 18:30 17:00

診療情報

休診日:日曜・祝日
※日曜・祝日診療は下記診療カレンダーをご覧下さい。

休診日

2026年 3月
1
2
3
4
5
6
7
8
9
10
11
12
13
14
15
16
17
18
19
20
21
22
23
24
25
26
27
28
29
30
31
1
2
3
4

休診日

日曜・祝日診療

13時迄

学び続ける歯科医師のご紹介

院長・歯科医師紹介

Dr.内藤 詩

院長

2018年 国立大学法人 岡山大学歯学部 歯学科卒
2019年 医療法人社団アップル歯科クリニック入社
2020年 アップル歯科尼崎駅前 配属
2021年 アップル歯科尼崎駅前 副院長就任
2023年 アップル歯科伊丹駅前 院長就任

Dr.吉見 哲朗

法人理事長

1999年 国立大学法人 徳島大学歯学部 卒業
1999〜2002年 医療法人社団歯友会 赤羽歯科勤務
2003〜2004年 うしじま歯科勤務
2004年 アップル歯科クリニック開業
2023年 アップル歯科伊丹駅前 開業

Dr.野村 心星

歯科医師

2023年 国立大学法人 徳島大学歯学部 卒業
2023年 医療法人社団アップル歯科クリニック入社
2024年 アップル歯科伊丹駅前 配属

Dr.岡田 真帆

歯科医師

2023年 学校法人 昭和大学 歯学部卒
2024年 医療法人社団アップル歯科クリニック入社
2024年 アップル歯科伊丹駅前 配属

Dr.坪井 良仁

歯科医師

2021年 愛知学院大学 歯学部 卒業
2025年 アップル歯科伊丹駅前 配属

Dr.仁井田 玲菜

歯科医師

2024年 国立大学法人 新潟大学歯学部 卒業
2025年 アップル歯科伊丹駅前 配属

アクセス・地図

地図
公共交通機関のご利用が便利です
  • 阪急伊丹駅 改札から徒歩30秒 3Fエスカレーターを登ってすぐ!
  • JR伊丹駅 から徒歩10分
  • 伊丹市営バス 各系統「阪急伊丹駅」下車 伊丹リータへ徒歩1分

お車でお越しの方へ

  • 県道189号より緑ヶ丘中央線へ入り伊丹リータ駐車場入口へ
  • 提携駐車場サービス有(伊丹リータ駐車場のみ:1時間分)

Copyight© 2023 Apple Dental Clinic. All Right Reserved.

Page Top