アップル歯科のホワイトスポット治療

【新規の患者様】「審美治療」予約可能日時

その他の予約

新規患者様予約メニュー

既存の患者様はこちら

お電話で予約 072-783-5777

歯にできた白い斑点のお悩み

歯の表面の白い斑点にお困りの方へ

「痛い」「しみる」などの症状はないけど、前歯に白い斑点があることにコンプレックスを抱いている方は少なくありません。他人からしてみれば、何とも思わない斑点でも、その斑点があるだけで深く悩まれる方もたくさんおられます。そんな大きな悩みにもなり得るホワイトスポット、この白い斑点の正体は一体何なのでしょうか?

一つは「初期虫歯」です。虫歯といえば黒く変色するイメージをお持ちの方も多いと思いますが、その虫歯も最初は白い斑点から始まることがあります。歯の表面のミネラルが溶け出している状態、いわゆる脱灰状態によりできた斑点です。

二つ目は「エナメル質形成不全」です。胎児期の何らかの障害であったり、乳歯の時期に外傷を受けたり、乳歯の根に大きな膿を作ってしまったりと原因は様々です。もちろん奥歯にも出来ますが、主に自分で気が付きやすいのは目立ちやすい前歯です。エナメル質形成不全の歯は虫歯のリスクが高いと言われています。

エナメル質形成不全について

エナメル形成不全は決して珍しい症状ではなく、ある調査では大臼歯と切歯に限った原因不明のエナメル質形成不全だけでも約11.9%の割合で罹患していたという結果もあります(※1)。つまり、10人いれば1人以上は歯に白い斑点を持った人がいるということです。もちろん、歯医者でも珍しい症例ではありません。しかしエナメル質形成不全は「むし歯」ではありません。つまり、そうやすやすと削るものではないということです。ですから、患者様の方から白い斑点を治して欲しいという主訴がなければ、歯科医師側から治療のアプローチをすることも多くはない病気かもしれません。

しかし、エナメル質形成不全には「見た目」に関して多くの人がコンプレックスと感じ、治療を望む方もおられます。 中にはホワイトニングで治ると言われ、ホワイトニングをしたものの結局周りが少し白くなっただけで、全く治らなかった方もおられます。エナメル質形成不全を含め、このホワイトスポットの治療のアプローチ方法は、そのホワイトスポットの深さによって異なります。自身のホワイトスポットを消したいという方、よろしければ一度ご相談にお越し下さい。

※1)本調査におけるMIHの罹患者は209名(罹患率11.9%)であり、この結果は諸外国の調査と比べても平均的なものであった

ホワイトスポットを消すには

小さく薄いホワイトスポット

口腔ケア製品で治療

歯磨き粉のような口腔ケア製品によって軽度のホワイトスポットを目立たなくします。

病巣が浅いホワイトスポット

薬剤による治療

特殊な薬剤を使いエナメル質を再石灰化することでホワイトスポットを消失させます。

病巣が深いホワイトスポット

樹脂による治療

ホワイトスポットを削り、コンポジットレジンという樹脂により見た目を改善します。

広範囲のホワイトスポット

セラミックによる治療

歯を少し削り、薄いシェルを歯の表面に貼り付けることで見た目を改善します。

ホワイトスポットの治療法

口腔ケア製品で治療

Miペースト

ホワイトスポットの原因は、石灰化が進まないためか、石灰化した部分が脱灰するために起こります。ホワイトスポットが浅く、薄いものであれば「Miペースト」という歯の再石灰化を促進する口腔ケア製品を使用し続けることで、薄くなることもあります。当院では、小さなホワイトスポットが気にはなっているけど治療するまでには至らないという患者様には、このMiペーストをご紹介することもあります。

薬剤による治療

アイコン

ホワイトスポットにアイコンという薬剤を使用することで、歯をほとんど削らず(最外層1層程度のみ削ります)にホワイトスポットを目立たなくすることが可能です。このアイコンにも適応はありますが、病巣が浅いホワイトスポットであれば、当院はアイコンによる治療をご提案することが多いです。治療期間も短く、前歯2本程度であれば1時間の施術で治療が可能ですので、早ければ1回もしくは2回程度の通院で終わることもあります。

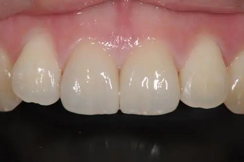
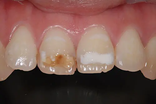
アイコンの治療例

治療前

治療後

治療の内容 前歯2歯のアイコンによるホワイトスポットの治療
期間・回数 1週間(2回※カウンセリング含む)
費用 自由診療:2歯の合計30,000円(税込33,000円)
リスク・副作用
  • 露出した象牙質又はセメント質がある場合、痛みを生じます。
  • ホワイトスポットの範囲が歯の先端に及ぶ場合、歯の形態に変化が出ることがあります。
  • アイコンでは治療できないホワイトスポットもあります。

樹脂による治療

ダイレクトボンディング

再石灰化や薬剤では治療な困難なホワイトスポットは、削って樹脂で埋めることで目立たないようにします。削るといっても最小限の切削で、治療痕も目立たずにホワイトスポットを消失させることが可能です。治療の回数も1〜3回程度と短いものです。ただし、ダイレクトボンディングは経年とともに劣化したり着色してしまうこともありますので、数年後には再治療が必要になることもあります。

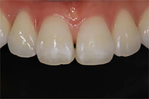
ダイレクトボンディングの治療例

治療前

治療後

治療の内容 前歯2歯のダイレクトボンディングによるホワイトスポットの治療
期間・回数 2週間(3回※カウンセリング含む)
費用 自由診療:2歯の合計60,000円(税込66,000円)
リスク・副作用
  • 食いしばりが強い場合や咬合力が強い場合は天然歯と同じく割れる場合があります。
  • 補綴が原因となり歯根歯折を起こす可能性があります。
  • 経年の劣化により着色や脱離をすることがあります。

セラミックによる治療

ラミネートベニア

ホワイトスポットの範囲が広い場合には、付け爪のように薄いセラミックのシェルを貼り付けて審美的に改善するラミネートベニアが有効です。ホワイトスポット以外の歯質も薄く削ることにはなりますが、被せ物に比べるとはるかに歯質の切削量も少なく、多くの天然の歯質を残します。セラミックの特性である審美性(自分の歯に近い見た目)や、汚れが着きにくいというメリットもあります。

ラミネートベニアの治療例

治療前

治療後

治療の内容 前歯2歯のラミネートベニアによるホワイトスポット・むし歯の治療
期間・回数 約2ヶ月(5回※カウンセリング含む)
費用 自由診療:2歯の合計240,000円(税込264,000円)
リスク・副作用
  • 食いしばりが強い場合や咬合力が強い場合は天然歯と同じく割れる場合があります。
  • 歯を少し削るため、治療後に数日程度しみる可能性があります。
  • 経年の劣化により着色や脱離をすることがあります。

ホワイトスポットの治療にかかる費用

アイコン

  • 30,000円(2歯迄)
    税込33,000円
  • 治療期間…2週間
  • 治療回数…2〜3回

ダイレクトボンディング

  • 30,000円(1歯)
    税込33,000円
  • 治療期間…1週間
  • 治療回数…1〜2回

ラミネートベニア

  • 120,000円(1歯)
    税込132,000円
  • 治療期間…2ヶ月
  • 治療回数…3〜4回

ホワイトスポットで悩むなら

ホワイトスポットは痛みもないため、治療して良いものか、ご自身ではわからないこともあるかと思います。また、治療をしたいと思っても、キレイに治るのか、削ってしまって良いのか、どんな治療法があるのかなど、考えれば考えるほどわからなくなることもあるかもしれません。

ホワイトスポットは歯の小さな斑点ですが、それをコンプレックスに感じる人の悩みの深さは第三者にはわからないものだと思います。自分のホワイトスポットが、どんな治療法が適しているのか、気になったらまずはお気軽にご相談下さい。一緒に治療法を検討していきましょう。

阪急伊丹駅前の歯医者 アップル歯科伊丹駅前

  • 〒664-0858 兵庫県伊丹市西台1丁目1番1号 伊丹阪急駅ビル4階
  • お支払いには各種クレジットカード・電子マネーが利用出来ます。

診療時間

曜日
診療開始 9:30 9:30 9:30 9:30 9:30 9:30
診療終了 18:30 18:30 13:00 18:30 18:30 17:00

診療情報

休診日:日曜・祝日
※日曜・祝日診療は下記診療カレンダーをご覧下さい。

休診日

2026年 4月
29
30
31
1
2
3
4
5
6
7
8
9
10
11
12
13
14
15
16
17
18
19
20
21
22
23
24
25
26
27
28
29
30
1
2

休診日

日曜・祝日診療

13時迄

学び続ける歯科医師のご紹介

院長・歯科医師紹介

Dr.内藤 詩

院長

2018年 国立大学法人 岡山大学歯学部 歯学科卒
2019年 医療法人社団アップル歯科クリニック入社
2020年 アップル歯科尼崎駅前 配属
2021年 アップル歯科尼崎駅前 副院長就任
2023年 アップル歯科伊丹駅前 院長就任

Dr.吉見 哲朗

法人理事長

1999年 国立大学法人 徳島大学歯学部 卒業
1999〜2002年 医療法人社団歯友会 赤羽歯科勤務
2003〜2004年 うしじま歯科勤務
2004年 アップル歯科クリニック開業
2023年 アップル歯科伊丹駅前 開業

Dr.野村 心星

副院長

2023年 国立大学法人 徳島大学歯学部 卒業
2023年 医療法人社団アップル歯科クリニック入社
2024年 アップル歯科伊丹駅前 配属
2026年 アップル歯科伊丹駅前 副院長就任

Dr.岡田 真帆

歯科医師

2023年 学校法人 昭和大学 歯学部卒
2024年 医療法人社団アップル歯科クリニック入社
2024年 アップル歯科伊丹駅前 配属

Dr.坪井 良仁

歯科医師

2021年 愛知学院大学 歯学部 卒業
2025年 アップル歯科伊丹駅前 配属

Dr.仁井田 玲菜

歯科医師

2024年 国立大学法人 新潟大学歯学部 卒業
2025年 アップル歯科伊丹駅前 配属

アクセス・地図

地図
公共交通機関のご利用が便利です
  • 阪急伊丹駅 改札から徒歩30秒 3Fエスカレーターを登ってすぐ!
  • JR伊丹駅 から徒歩10分
  • 伊丹市営バス 各系統「阪急伊丹駅」下車 伊丹リータへ徒歩1分

お車でお越しの方へ

  • 県道189号より緑ヶ丘中央線へ入り伊丹リータ駐車場入口へ
  • 提携駐車場サービス有(伊丹リータ駐車場のみ:1時間分)

Copyight© 2023 Apple Dental Clinic. All Right Reserved.

Page Top